
조앤조병원 | 대표자 : 조영린 | 서울 중랑구 망우로 474
사업자등록번호 : 204-92-86513
전화 : 02-433-3336 | 팩스 : 0505-009-3336
COPYRIGHT © CHONCHO HOSPITAL.
ALL RIGHTS RESERVED

조앤조병원 | 대표자 : 조영린 | 서울 중랑구 망우로 474 | 사업자등록번호 : 204-92-86513
전화 : 02-433-3336 | 팩스 : 0505-009-3336
COPYRIGHT © CHONCHO HOSPITAL. ALL RIGHTS RESERVED
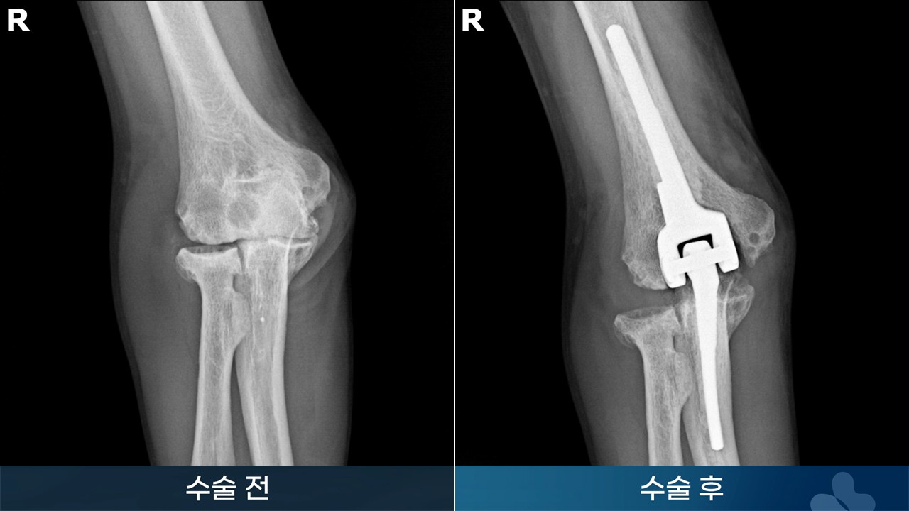
※ 수술 경과는 개인에 따라서 달라질 수 있습니다. 수술 후 멍, 감염, 통증, 부종 등이 발생할 수 있습니다.